Biozcopia
  • Startseite
  • Über mich
    • Philosophie
  • Preisliste
  • Leistungsangebot
  • Galerie
  • Cloud
  • Know How
    • Digitalzoom
    • Live Stitching
  • Kontakt
Seite wählen

Galerie

Leistungsangebot

Mehrschichtiges unverhorntes Plattenepithel (Ösophagus, Querschnitt), 40x Objektiv, Digitalzoom 12x, gescannt mit dem PreciPoint M8

Magengewebe im histologischen Schnitt, 40x Objektiv, Digitalzoom: 2x – gescannt mit dem PreciPoint M8

Querschnitt durch Kiemen eines Fisches, 40x Objektiv, Digitalzoom 6,8x, gescannt mit dem PreciPoint M8

Regenwurm (Querschnitt), 40x Objektiv, Digitalzoom 9x, gescannt mit dem PreciPoint M8

Weizenkorn (Querschnitt), 40x Objektiv, Digitalzoom 10x, gescannt mit dem PreciPoint M8

Männlicher Tannenzapfen (Längsschnitt), 40x Objektiv, Digitalzoom 6,17x, gescannt mit dem PreciPoint M8

Maiskorn (Längsschnitt), Aufnahme mit 40x Objektiv, Digitalzoom 10x, gescannt mit dem PreciPoint M8

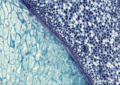
Stängel des Adlerfarns (Querschnitt), 40x Objektiv, Digitalzoom 2x, gescannt mit dem PreciPoint M8

Startseite

Über mich

Kontakt

Know How

Leistungsangebot

Philosophie

Preisliste

Cloud

LiveStitching

Digitalzoom

Rechtliches

Impressum

AGB

Datenschutz

Cookie-Richtlinien (EU)

© 2026 BIOZCOPIA by Oliver Terwolbeck – Alle Rechte vorbehalten.

Einwilligung verwalten

Um dir ein optimales Erlebnis zu bieten, verwenden wir Technologien wie Cookies, um Geräteinformationen zu speichern und/oder darauf zuzugreifen. Wenn du diesen Technologien zustimmst, können wir Daten wie das Surfverhalten oder eindeutige IDs auf dieser Website verarbeiten. Wenn du deine Einwillligung nicht erteilst oder zurückziehst, können bestimmte Merkmale und Funktionen beeinträchtigt werden.

Funktional Immer aktiv
Die technische Speicherung oder der Zugang ist unbedingt erforderlich für den rechtmäßigen Zweck, die Nutzung eines bestimmten Dienstes zu ermöglichen, der vom Teilnehmer oder Nutzer ausdrücklich gewünscht wird, oder für den alleinigen Zweck, die Übertragung einer Nachricht über ein elektronisches Kommunikationsnetz durchzuführen.
Präferenzen
Die technische Speicherung oder der Zugriff ist für den rechtmäßigen Zweck der Speicherung von Präferenzen erforderlich, die nicht vom Abonnenten oder Benutzer angefordert wurden.
Statistiken
Die technische Speicherung oder der Zugriff, der ausschließlich zu statistischen Zwecken erfolgt. Die technische Speicherung oder der Zugriff, der ausschließlich zu anonymen statistischen Zwecken verwendet wird. Ohne eine Vorladung, die freiwillige Zustimmung deines Internetdienstanbieters oder zusätzliche Aufzeichnungen von Dritten können die zu diesem Zweck gespeicherten oder abgerufenen Informationen allein in der Regel nicht dazu verwendet werden, dich zu identifizieren.
Marketing
Die technische Speicherung oder der Zugriff ist erforderlich, um Nutzerprofile zu erstellen, um Werbung zu versenden oder um den Nutzer auf einer Website oder über mehrere Websites hinweg zu ähnlichen Marketingzwecken zu verfolgen.
  • Optionen verwalten
  • Dienste verwalten
  • Verwalten von {vendor_count}-Lieferanten
  • Lese mehr über diese Zwecke
Einstellungen ansehen
  • {title}
  • {title}
  • {title}